
Smile Gallery
See stunning results from our smile experts.
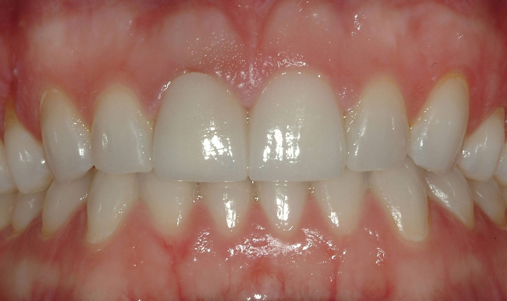
before

after

Two Crowns
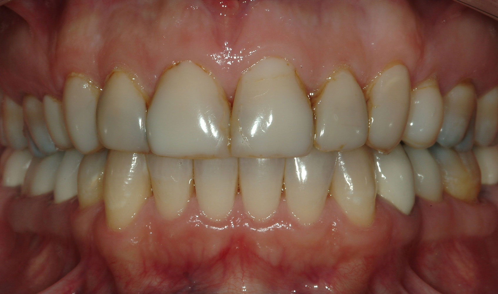
before

after

Switching old mercury fillings with composite fillings
before

after

Single unit implant crown
before

after

Single unit crown
before

after

One implant crown
before

after

Marilyn Bridges
before

after

Implant and 2 Crowns
before

after

Composite Fillings on Front 2 Teeth
before

after

Composite Bonding on two front teeth
before

after

8 upper crowns, 2 3-Unit bridges, & 14 Lower crowns
before

after

8 Upper veneers
before

after

8 Upper and 9 Lower Veneers & Crowns
before

after

8 Upper Veneers
before

after

6 veneers
before

after

6 Veneers
before

after

6 Veneers
before

after

6 Veneers
before

after

6 Veneers
before

after

6 Upper and 6 Lower Veneers
before

after

6 Upper and 6 Lower Veneers
before

after

4 upper veneers and crowns
before

after

4 upper veneers
before

after

4 Veneers
before

after

4 Upper Veneers
before

after

3 Veneers & 3 Unit Bridge
before

after

3 Veneers & 1 implant crown
before

after

2 upper veneers and 4 unit bridge - 6 lower veneers
before

after

2 Veneers
before

after

2 Veneers
before

after

2 Veneers
before

after

2 Veneers
before

after

14 upper crowns and veneers, 14 lower veneers and crowns
before

after

12 upper and 12 lower veneers
before

after

12 Upper Veneers & 10 Lower Veneers
before

after

12 Upper & 12 Lower Veneers
before

after

10 veneers
before

after

10 veneers
before

after

10 veneers
before

after

10 upper veneers & crowns
before

after

10 upper crowns and implant crowns
before

after

10 Veneers
before

after

10 Veneers
before

after

10 Veneers
before

after

1 veneer & a 3-unit bridge
Patient Testimonials
You say it best.
